New York Crowns and Bridges
Porcelain Crowns
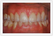
Applied Procedures: Porcelain Crowns
P3400_ss1536bs_t P3400_ss1536ys_t
Before Photo After Photo
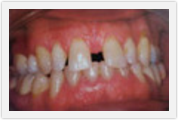
Applied Procedures: Porcelain Crowns
P3400_ss1537bs_t P3400_ss1537ys_t
Before Photo After Photo
Applied Procedures: Porcelain Crowns, Dental Bridges
P3400_ss1538bs_t P3400_ss1538ys_t
Before Photo After Photo